Hay tumores malignos y malignos
Publicado por José Ramón Alonso
Evolución de un tumor cerebral. Imagen cortesía de brainspinesurgery.
Tener un cáncer es siempre una mala noticia pero tenerlo en el cerebro es, y disculpen el mal lenguaje, una putada. El nervioso es quizá el tejido más delicado, con nula capacidad de regeneración y donde el acceso de los cirujanos al sistema nervioso central está dificultado no tanto por sus distintas protecciones (cráneo, meninges, barrera hematoencefálica, líquido cefalorraquídeo) que también, sino por la propia fragilidad e importancia del cerebro.
Pero la cosa, aunque no lo crean, puede ser incluso peor: un tumor cerebral no solo te puede matar sino que antes te puede convertir en alguien distinto a quien tú eras, capaz de un comportamiento delictivo y repulsivo. Y en mi opinión y la de muchos nada hay tan aberrante como la pederastia, abusar de un niño o una niña para obtener una gratificación sexual.
El abuso sexual a menores es toda conducta en la que un menor es utilizado como objeto sexual por parte de otra persona con la que mantiene una relación de desigualdad, ya sea en cuanto a la edad, la madurez o el poder. Un pedófilo es una persona que tiene una orientación sexual dirigida hacia niños o niñas prepúberes, de doce años o menos. En ocasiones pederastia y pedofilia se usan como sinónimos pero para muchos profesionales un pedófilo podría no llegar nunca a abusar de niños sino que se quedaría en los límites de las fantasías sexuales y el pederasta pasa a los hechos. No todos los pedófilos son pederastas y viceversa. Los pederastas se definen por sus actos, los pedófilos por sus deseos. Algunos pedófilos consiguen no acercarse sexualmente a un niño jamás, pero ignoramos qué porcentaje son del total porque normalmente sabemos de los pedófilos cuando intentan o hacen algo y son detenidos.
La pedofilia es un trastorno mental que los psiquiatras agrupan junto a otras parafilias donde se incluyen fantasías potentes y recurrentes, ansias sexuales o comportamientos que incluyan niños, sujetos no humanos o adultos en relaciones no consentidas, o sufrimiento o humillación en uno mismo o en la pareja. Hay dudas sobre si los pedófilos se sienten atraídos también por adultos. La mayoría de lo que sabemos sobre la pedofilia se basa en personas acusadas de delitos sexuales contra niños, por lo que pueden exagerar su interés sexual por adultos para parecer más «normales».
Tendemos a pensar en los pedófilos como monstruos solitarios, casos excepcionales, pero no es así. En la Operación Rescate de 2011, policías de treinta países incluido España hicieron caer una red de pornografía infantil con más de setenta mil miembros, identificando a seiscientos setenta sospechosos, arrestando a ciento ochenta y cuatro y poniendo bajo la custodia de los servicios sociales a doscientos treinta niños que estaban siendo explotados por la red. Entre los detenidos había personas de las que uno esperaría que estuvieran en primera línea en la defensa de un niño como policías, maestros o responsables de grupos de Boy Scouts. Un año más tarde, una nueva operación denominada Sunflower identificó otros ciento veintitrés niños explotados sexualmente solo en los Estados Unidos, cinco menores de tres años, nueve de entre cuatro y seis, veintiuno de entre siete y nueve, once de entre diez y doce, treinta y ocho de entre trece y quince y quince de entre dieciséis y diecisiete. Doscientos cuarenta y cinco adultos fueron arrestados. El nombre del operativo, Sunflower (girasol) fue porque en un vídeo requisado por la policía danesa se veía una niña de once años víctima de abusos sexuales y en el coche que la llevaba se veía al fondo una peculiar señal vial con forma de girasol. La policía danesa envió a la estadounidense el vídeo, lo que llevó a la identificación de la localidad, un pueblo de Kansas, de ahí a la localización de la niña, que fue el hilo para encontrar a la persona que había grabado el vídeo, que a su vez llevó hasta el servidor usado, bajo claves y seudónimos, para el intercambio de pornografía infantil, lo que hizo que cayera toda la red.
Un reciente caso clínico publicado en la revista Archives of Neurology por Jeffrey Burns y Russell Swerdlow se centra en un peculiar caso de pederastia. Un hombre, un maestro de escuela de cuarenta años, empezó a navegar en secreto por páginas web con pornografía infantil y a solicitar los servicios de prostitutas en salones de masajes, actividades que no había realizado antes. Aunque había tenido interés por la pornografía durante la adolescencia nunca se había sentido atraído por los niños y nunca había tenido problemas maritales o sociales al respecto.
A lo largo del año 2000 compró una colección cada vez más grande de revistas pornográficas y frecuentaba cada vez más páginas web con contenido sexual explícito. Mucho de ese material se centraba en niños o adolescentes e iba especialmente dirigido a personas que buscaban pornografía infantil. Empezó a hacer sutiles avances sexuales hacia su hijastra prepúber que pudo ocultar a su esposa durante semanas. Cuando la niña le contó a su madre lo que estaba pasando, ella descubrió su obsesión con la pornografía y en particular con la pornografía infantil e hizo que el juez le expulsara de la casa común, fue declarado culpable de molestar a niños y medicado contra la pedofilia. Declaró a uno de los médicos que «sé que aquel comportamiento era inaceptable pero el ansia de placer superaba mis frenos morales».
El juez decretó que tenía que realizar un programa de rehabilitación contra las obsesiones sexuales, el programa en doce pasos de Sexólicos Anónimos, o ir a prisión, y el paciente optó por la primera opción. Sexólicos Anónimos es una asociación donde un grupo de personas, bajo supervisión profesional, intentan ayudarse unos a otros para resolver sus problemas relacionados con el sexo y lograr lo que ellos llaman «sobriedad sexual». Sin embargo, esta persona fue expulsado cuando pidió relaciones sexuales a las mujeres que participaban en el programa, tanto a personas que trabajaban allí como a clientes. La expulsión del programa terapéutico implicaba su ingreso inmediato en una penitenciaría, así que el caso volvió al juzgado para que se estableciera la duración de la condena.
La tarde previa a que se le comunicara la sentencia de prisión fue llevado a urgencias pues se quejaba de fuertes dolores de cabeza, de pensamientos suicidas, y decía que temía violar a su casera. En la consulta de psiquiatría, donde se le hizo un diagnóstico de pedofilia, se quejó también de problemas para mantener el equilibrio. La historia clínica recogía un traumatismo craneal sufrido dieciséis años atrás asociado a una pérdida de consciencia durante dos minutos sin secuelas neurológicas aparentes, dos años sufriendo migrañas e hipertensión. Durante el análisis neurológico pidió a mujeres del equipo médico favores sexuales y no fue consciente de que se había orinado encima. El análisis mostró algunas respuestas neurológicas anómalas, problemas en la escritura y al caminar; cuando andaba daba pasos cada vez más cortos y titubeantes. Otras pruebas de memoria, estado mental, sensibilidad olfatoria y habla, entre otras, dieron resultados normales. El médico ordenó que se le hiciera un escáner.

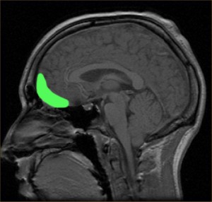
Ubicación de la corteza orbitofrontal. Imagen: Paul Wicks (DP).
La resonancia magnética encontró que tenía un tumor cerebral, un hemangiopericitoma del tamaño de un huevo en la corteza orbitofrontal derecha, la zona situada en la región más anterior e inferior del hemisferio cerebral derecho, por detrás de la cuenca del ojo derecho.
La corteza orbitofrontal es una de las regiones cerebrales donde puede producirse bastante daño sin que apenas se note, sin que el paciente piense que debe ir al médico o incluso yendo, sin que el médico sospeche que algo anda mal. Esta región cerebral está relacionada con el juicio crítico, el control de los impulsos, la toma de decisiones y el comportamiento social. La corteza orbitofrontal se encarga de inhibir las acciones inapropiadas, vetando el impulso emocional inmediato que supone la obtención de placer y sustituyéndolo por una respuesta acorde a nuestra educación, a nuestras convenciones sociales, integrada con aquello que consideramos moralmente admisible y que nos permite seguir siendo un miembro aceptado en la sociedad.
Las personas con una lesión en la corteza orbitofrontal en la infancia tienen problemas para la adquisición de los principios morales y sociales y normalmente muestran un juicio pobre, poco control de los impulsos y sociopatía. Esta sociopatía normalmente se refleja en una tendencia a los comportamientos violentos, la ausencia de remordimientos o culpa, dar poco valor a las leyes, a las normas sociales y a los derechos de los demás y dificultades para mantener un trabajo. Son personas que a menudo viven en los márgenes de la sociedad. Si cometen algún crimen suele ser al azar y de forma espontánea y no planificada. Cuando la lesión ocurre en la vida adulta, sin embargo, se ve también sociopatía, pero el desarrollo moral establecido previamente se mantiene.
Podemos pensar que el protagonista del caso clínico fuera un mentiroso, que estuviera fingiendo para escapar del castigo de la justicia. Por otro lado nos puede preocupar que todos los pedófilos pidan ahora que se les haga un escáner, sugiriendo que no son ellos los responsables de sus actos sino un cáncer creciendo en su cabeza. La diferencia, el dato clave, es que el paciente tenía un historial normal, sin ningún comportamiento anómalo previo mientras que la mayoría de los pedófilos tienen normalmente problemas de comportamiento y una sexualidad aberrante desde la adolescencia.
Finalmente el tumor fue extirpado y tras completar con éxito el programa de rehabilitación contra la adicción al sexo de Sexólicos Anónimos el hombre pudo volver a su hogar. Sin embargo, en octubre de 2001, volvió a quejarse de dolores de cabeza y comenzó de nuevo a recopilar pornografía a escondidas. Un nuevo escáner reveló que el tumor había vuelto a crecer y tras su segunda eliminación quirúrgica, el comportamiento ilegal e inmoral desapareció por segunda vez, reforzando esa relación causal entre el tumor y la pederastia.
No sabemos cuál era el efecto de la presencia del tumor, por qué causaba esa alteración en el comportamiento. ¿Alteración de los circuitos neuronales? ¿Producción de una cantidad anómala de neurotransmisoresexcitatorios o inhibitorios que alterasen la química de la corteza orbitofrontal? ¿Cambios hormonales? Lo que está claro es que quienes somos es algo que está en nuestro cerebro.